
With screening mammograms increasingly detecting cancers early, there are some patients who only need radiation around the surgical cavity where the risk of microscopic disease left behind is the highest. Multiple trials have now compared partial breast radiation with whole breast radiation in these patients (see flow diagram above), showing equivalent cancer control and less cosmetic changes.
Partial breast radiation can be given in 5 or 15 daily treatments with a regular linear accelerator. Brachytherapy devices can also be inserted into the lumpectomy cavity to allow internal radiation twice a day over one week, but most women find this somewhat cumbersome.
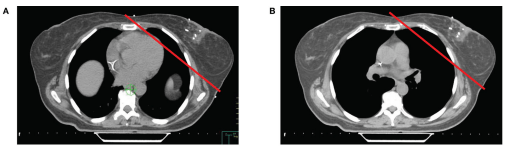
Lower heart dose
In 2013, a population-based study from Denmark/Sweden linked breast cancer radiation to ischemic heart disease 5 or more years later. This was really a study of old radiation technology vs new technology, including women treated from 1958 to 2001. The average heart dose was 5Gy, really high compared to modern radiation. The often quoted 7.4% increase per Gy is a relative increase from the baseline ischemic heart disease risk (eg. a 50% relative increase from a 10% baseline risk is 5% absolute risk increase). Still, it was published in the New England Journal of Medicine and still influences our discussions today.

Whole breast radiation is much safer now. With CT planning, we can visualize and block the heart from receiving radiation. For left-sided breast radiation, having the patient take and hold a deep breath during radiation pulls the heart down and away from the radiation field. It is usually possible to keep the mean heart dose less than 2Gy with modern planning.

When I can offer it, partial breast radiation can even further decrease the mean heart dose, on average to 0.5Gy.
